3443通信 No.369
日本めまい平衡医学会誌に掲載された論文『三好 彰他:当院を受診した小脳腫瘍の1症例.Equilibrium Res Vol.71(4):226-230,2012』をご紹介します。
3443アーカイブス
論文『当院を受診した小脳腫瘍の1症例』
三好 彰1)・中山 明峰2)・三邉 武幸3)・石川 和夫4)
1) 三好耳鼻咽喉科クリニック
2) 名古屋市立大学医学部耳鼻咽喉科学教室
3) 昭和大学藤が丘病院耳鼻咽喉科
4) 秋田大学大学院医学研究科耳鼻咽喉科頭頚部外科学講座
Key words:cerebellar angioblastoma, morning headache,IICP
はじめに
三好耳鼻咽喉科クリニック(以下当院)を受診した、小脳腫瘍症例について報告する。
本症例は頭痛・ふらつき・嘔気・嘔吐にて、当院を受診し、その日のうちに脳神経外科を紹介したところ、即日入院となった。
症 例
症例は36歳の女性であり、既往歴は特になかった。
現病歴であるが、およそ2週間前から後頭部痛と頭重感そして嘔気を覚え、眼科・整形外科・内科を受診し、異常なしと言われていた。この症状は朝方ひどく、午後になると改善した。発症当日は、日曜日の早朝から長女の幼稚園の運動会を見学していたところ、体がふらふらして突然嘔吐してしまった。めまいというよりも、頭がぼーっとする感じが強いように感じられた。加えて右によろめいてしまい、まっすぐ歩けない状態となり、当日午前11時当院を受診した。
受診時の所見では、鼓膜所見に異常なく聴力正常であったが、フレンツェル眼鏡下の坐位及び頭位眼振検査で、左方へ向かう水平性眼振が認められた(図1)。なお、日曜日という当日の診療状況から、ENG等の精査は実施できなかった。

図1 初診時の眼振。フレンツェル眼鏡下の坐位及び頭位眼振検査で、左方へ向かう水平性眼振が認められた。
またわれわれは、頭痛と嘔吐の性状から頭蓋内圧亢進症状(Increased intracranial pressure:IICP)の可能性を強く疑い、生命に係わりかねない事態と判断されたことから、それ以上の検査を行うことなく、ただちに脳神経外科を紹介した。
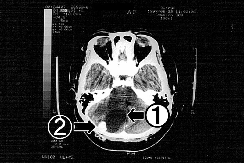
脳外科で施行したCTでは、左側小脳半球に直径5㎝程度の嚢胞を伴う腫瘍像を認め、第IV脳室の右方偏位が見られた(図2)。加えて眼底検査ではうっ血乳頭が確認され、水頭症の進行が懸念されたため、血管芽腫疑いとして即日入院となった。
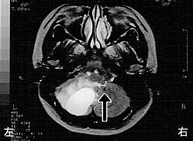
第5病日のMRIでは、第Ⅳ脳室の右方偏移・圧排された左側側脳室・大脳鎌ヘルニアなどの所見が得られた(図3・4)。

図2 脳神経外科受診当日の単純CT。左側小脳半球に嚢胞①を伴う腫瘍②を認め、第Ⅳ脳室の右方偏移が見られた。

図3 MRIにて第Ⅳ脳室の圧排と、右方偏移が見られる。(プロトン強調画像)

図4 MRIにて圧排された左側側脳室①と、右方への大脳鎌ヘルニア②が観察される。(T1造影MRI)
第8病日になされたDAS(digital subtruction angiography)では、左側後下小脳動脈(PICA)の分枝をfeeding arteryとする腫瘍像が抽出され、2本のdraining veinが合流して横静脈洞に注いでいることが判った(図5)。なお、この検査中に本症例は痙攣発作を生じ、そのまま緊急開頭手術となった。

図5 DSAでは、左側PICAをfeeding arteryとする腫瘍像が描出され、draining veinも見出された。
術中所見では、嚢胞を有する壁在結節が認められ、その周囲にfeeding arteryである左側PICA分枝とdraining veinとが見られた。壁在結節を摘出し、手術は終了した。
腫瘍の病理組織診断では、血管芽種の確定診断がなされた。このため全身性の多発を懸念し制精査したが、腫瘍は小脳のみの単独発生であったため、第30病日に退院となった。その後本症例は、15年間当院を受診しておらず、機会をとらえ再受診を促している。
考 察
耳鼻咽喉科外来診療はきわめて多忙だが、ときに重大な中枢性神経疾患が潜んでいることがある。慌ただしい臨床環境においていかにして見逃しを防ぐか、われわれは12脳神経のサインや眼振など微細な神経耳科学的徴候に注意して診療をしている。
実際これまでにもわれわれは、舌のしびれ感や顔面の触覚低下、自覚を欠く垂直性眼振などから、多様な中枢神経疾患を検出し報告している1)-3)。
今回報告した小脳血管芽種の本症例において、耳鼻咽喉科的所見は水平性眼振以外に認められなかったものの、朝方の頭痛と嘔気・嘔吐から脳腫瘍が疑われた4)。このため、ただちに脳神経外科へ紹介されることとなった。
当院は、土・日・祝日も全日通常の外来診療を行っている宮城県唯一の耳鼻咽喉科であり、それゆえに混雑している。初診当日の神経耳科学的精査は実施不可能であったが、結果的に判断は過たなかったものと思われる。
本症例は脳神経外科受診後、生命の危険を指摘され、即日入院となった。実際CT(図2)やMRI(図3・4)では、第Ⅳ脳室の圧迫と右方偏移・圧排された左側側脳室・大脳鎌ヘルニアなどの所見が得られ、眼底所見を併せて考えると水頭症の進行から脳幹の圧迫に至る危険性も、否定できなかった。
今回見られたような脳腫瘍における頭痛は、IICPの重陽で危険な症状であり、見過ごしてはいけない。
この頭痛は朝方増強することが特徴的で、別名morning headacheとも呼ばれる4)。こうした頭痛と脳腫瘍の大きさとの相関は乏しいとされ、IICPの急激な増加に関係するとされている4)。血管芽腫の発育は緩徐であり、ここに報告した頭痛は閉塞性水頭症の急激な増悪に起因しているものと推測される。本症例が、当院初診前に眼科を受診しておりながら異常なしと診断されたこと、当院受診後の脳神経外科の眼底検査ではうっ血乳頭と診断された事実は、短時間内における水頭症の急性悪化を示唆し、この推論を裏付けている。
なおIICPに伴う頭痛は、嘔気・嘔吐・ふらつきを随伴症状とすることが多く、嘔吐はときにprojective vomitingと称する反射性のそれを呈する。受診当日の嘔吐も、このためであったと想像できる。
血管芽腫では、小脳の各動脈から供血される腫瘍陰影が、壁在結節に一致して見られる4)。壁在結節を除去することにより根治されるので、脳血管造影検査にて結節の部位と数とを確認する必要がある4)。今回も、脳神経外科入院後、DSAが行なわれ、腫瘍の詳細が描出された(図5)。なお腫瘍の病理組織診断では、血管芽種の確定診断がなされた。
小脳血管芽種は、Lindauが本疾患と網膜血管芽種の合併例を報告したのが最初とされている4)。網膜血管芽種はvon Hippel病と呼ばれていたことから、両者の合併例をvon Hippel-Lindau病と称する4)。なおこの場合、両社の合併に内蔵臓器の腫瘍性病変が併存し、常染色体優性遺伝の形態をとるとされる5)。von Hippel-Lindau病では、血管芽種が小脳以外の脊髄や延髄などにも発生し、多発することも少なくないとされる5)。内蔵病変としては、腎・膵の嚢腫や腎癌そして褐色細胞腫の合併頻度が高い5)。腫瘍からエリスロポイエチンが産生され、多血症や血色素の増加を伴うこともある6)。
本症例では、眼底検査で網膜血管芽種は検出されなかったが、全身性の多発を懸念し精査したけれども小脳単独の血管芽種発生であったことから、von Hippel-Lindau病は否定された。またエリスロポイエチンも、正常範囲内であった。
小脳血管芽種は、全国集計では原発性脳腫瘍の1.8%であり、その84%が小脳に発生する4)。また、全小脳腫瘍の中の28%を占めるとされる4)。単独発生の小脳血管芽種は小脳に好発する成人の脳腫瘍であり、35~45歳にピークが来る4)。ただし、von Hippel-Lindau病では遺伝が継承されるにつれて発症年齢は若くなり、20歳代に発症することが多いとされる4)5)。
小脳血管芽種の中には、完全摘出の10年後に再発した症例7)や17年後の再発例も報告されている8)ため、腫瘍の再発の検出が今後の課題と言える。
前述したとおり本症例は退院後15年間、脳神経外科・当院とも正式の受診はなく、手紙等で再精査の必要性を説明している。
まとめ
当院を受診した、小脳腫瘍の1症例について報告した。
本症例は、頭痛・ふらつき・突然の嘔吐で受診した小脳血管芽腫症例である。幸い脳神経外科にて摘出手術を受けるに至ったが、初診時すでに水頭症を合併しており生命に関わりかねない状態であった。多忙な一般耳鼻咽喉科外来ではあっても、頭痛と嘔吐の性状を詳しく聞き取ることで、われわれがこれまで報告してきた症例1)~3)と同様、中枢神経疾患を見逃すことなく、救命し得ることを再確認できた。
謝 辞
稿を終えるにあたり、CT・MRI・DSA画像データの提供を頂き本報告に貴重なご意見を賜りました今田隆一先生(現在 宮城厚生協会坂総合病院 脳神経外科(院長)、当時 同協会泉病院 脳神経外科(院長))に深謝いたします。
文 献
1) 三好 彰,中山明峰,三邉武幸:舌のしびれ感にて受診した三叉神経鞘腫の1例.耳鼻と臨56:29-32,2010
2) 三好 彰,中山明峰,三邉武幸:三叉神経知覚異常にて発見された聴神経腫瘍の1例.耳鼻と臨55:264-267,2009
3) 三好 彰,中山明峰,三邉武幸:椎骨動脈の奇形による垂直性眼振の1例.耳鼻と臨56:33-36,2010
4) 松谷雅生,黒岩俊彦,太田富雄:脳腫瘍.脳神経外科学 改訂第8版.太田富雄,他 編,437-721頁,金芳堂,京都,2000
5) 横田 晃:先天奇形.標準脳神経外科学 第10版.山浦 晶,他 編,274-294頁,医学書院,東京,2005
6) 玉木紀彦,白国隆行,巽祥太郎,他:小脳血管芽腫-NMRによる脳神経疾患診断の実際 18-.中外医薬39:421-430,1986
7) 高尾聡一郎,重松英明,鈴木健二,他:10年後に再発を認めた小脳血管芽腫の1例.岡山赤十字病医誌10:82-87,1999
8) 枡井勝也,川合省三,米澤秦司:再発性小脳血管芽腫の1手術例.大阪急性期・総合医療セ誌26:44-46,2003
本報告では、利益相反に該当する事項はない。
(英文抄録)
A case study of a cerebellar tumor
Akira Miyoshi1), Meiho Nakayama2), Takeyuki Sambe3), Kazuo Ishikawa4)
1) Miyoshi ENT Clinic
2) Department of Oto-Laryngology,Nagoya City University
3) Department of Oto-Laryngology,Showa Medical School,Fujigaoka Hospital
4) Department of Otorhinolaryngology,Head-Neck Surgery,Akita University,Graduate School of Medicine
Summary
A 36 y.o.female visited the Miyoshi ENT Clinic,with symptoms including a headache, a sensation of dizziness and sudden vomiting that morning.She had to be transferred to a neardy Neurosurgical Hospital.Her symptom was recognized as a morning headache due to increased intracranial pressure(IICP).The CT and MRI examination revealed a cystic lesion in left cerebellar hemisphere and the digital subtraction angiography was then performed to detect the feeding artery.While under this examination,unfortunately,she had a convulsive attack.An urgent craniotomy was performed and cerebellar angioblastoma was diagnosed in the patient.We must always bear in mind the potential of such a serious condition when outpatients present at the clinic with general symptoms of dizziness,head ache,and vomiting/nausea.
関連記事
論文・エッセイ・学会発表まとめ
めまいの方へ