3443通信 No.370
めまいには様々な病態があり、その多くは耳に原因があると言われています。ですが、なかには脳などの命の危険が伴う中枢性めまいも存在します。
ここでは、過去に学会で発表しためまいに関する症例についてご紹介します。
3443アーカイブス
学会発表『舌のしびれ感にて受診した三叉神経鞘腫の1症例』
期 日:2009年3月15日
学会名:第136回 日耳鼻宮城県地方部会
三好 彰(三好耳鼻咽喉科クリニック)
三邉 武幸(昭和大学藤が丘病院耳鼻咽喉科)
症 例
症 例:R.G 62歳 女性
主 訴:
①下下面左側と唇下左側のしびれ
②左側耳痛
既往歴:子宮筋腫、高血圧
現病歴:2007年3月頃から舌下面左側と唇下左側のしびれ感が出現。同月、某病院口腔外科から同院内科を紹介され、MRIを撮影。
放射線科医師の読影では、古い梗塞病変のみと(図1、2)。

図1

図2
6月より富谷のペイン・クリニックにて、三叉神経の神経ブロックを受ける。
9月初めに某耳鼻科受診し、次いで9月12日に当院を受診した。
当院受診時の所見(図3)
鼓膜所見:異常なし
聴 力:正常
眼 振:左方へ向かう水平性眼振
EGM:正常
12脳神経:左側口角の触覚低下(角膜反射は正常)
血清亜鉛:正常
単純ヘルペスウィルス抗体価:上昇

図3
当院受診後の経過①
受診当日より、テグレトール・ボルタレン内服を開始。
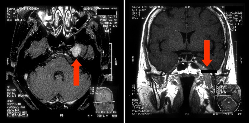
三叉神経領域についてMRI撮影(図4)を依頼したところ、左側三叉神経鞘腫が検出された。
眼振と腫瘍との関連に関して3次元CT(図5)を撮影したが、腫瘍の聴神経への進展は見られなかった。

図4

図5
当院受診後の経過②
内科撮影のMRI(図6)にて、頭蓋底の左側卵円孔の拡大が認められ、この時点で腫瘍の存在したことが理解できた。
本症例はその後、泉病院脳神経外科に紹介となり、経過観察との報告を受けた。

図6
考 察①
本症例の主訴となった舌下面左側と唇下左側のしびれは、三叉神経鞘腫に起因していたものと推測できる。
三叉神経鞘腫は、全頭蓋内神経鞘腫(原発性脳腫瘍の10.8%)の0.8%から8%を占める比較的稀な腫瘍とされる(図7)。
また、進行が緩徐で軽症のまま経過することが多い、ともされる。
本症例も、しびれ感以外に目立った症状がなかったために、内科におけるスクリーニングMRI及び耳鼻科受診でも、検出し得なかったものと推察される。

図7
考 察②
初診時に観察された眼振は、過去の聴神経腫瘍症例を想起せしめ、頭蓋底に焦点を絞ったMRI撮影の、より強い動機となった。
結果的に、当院でのMRI撮影が腫瘍発見に結びついたが、眼振そのものは三叉神経鞘腫と、直接の関連に乏しいように思われた。
ただし本症例はその後当院を受診しておらず、耳痛・眼振の発生機序を明確化するには至らなかった。
過去の演題より引用
演 題:変動する難聴を呈し三叉神経知覚異常で発見された聴神経腫瘍の1症例
学会名:第124回 日耳鼻宮城県地方部会
期 日:2006年3月26日
症 例:34歳 女性
既往歴:特になし
現病歴:1996年2月2日、左側耳鳴(金属音)・耳閉感出現。舌は半年前からの乾燥感。同日、三好耳鼻咽喉科クリニックを受診。
当院受診時の所見:聴力正常だったが、左方へ向かう眼振を認めた(図8)。三叉神経の知覚を確認したところ、第2・3枝領域の触覚低下が確認できた(図9)。

図8

図9
考察③
当初は異常なしと診断された内科でのMRIで、すでに腫瘍による骨破壊像の認められた事実は、画像診断に先立つ神経学的診断の重要性を、再考せしめる。
画像診断は、標的とする部位と症状を特定して行なわれるのが、望ましい。
まとめ
舌のしびれ感にて受診した、三叉神経鞘腫の1症例を報告した。
頭蓋底に的を絞った画像診断は、神経耳科学的スクリーニングに基づくものであり、画像診断前の神経学的診断の重要性について、改めて認識させられた。
関連記事
論文・エッセイ・学会発表まとめ
めまいの方へ